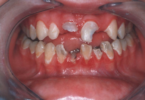
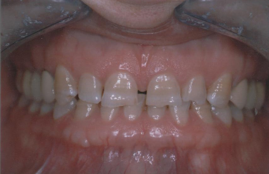
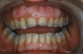
Before
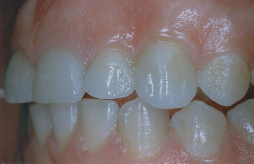
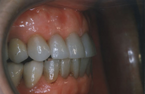
After
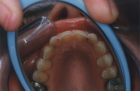
REHABILITATION OF FUNCTION AND BEAUTY BY PORCELAIN VENEERS CROWNS AND (NOT METAL) PREVIOUS SECTOR UPPER AND LOWER (COSMETIC AREA) AND CROWN AND BRIDGE PORCELAIN METAL-SECTOR WITH UPPER AND LOWER BACK LIFTING THE VERTICAL DIMENSION. MADE IN THE LAST REVIEW THIS YEAR FULL retained TEN YEARS AFTER TREATMENT.
Before
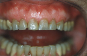
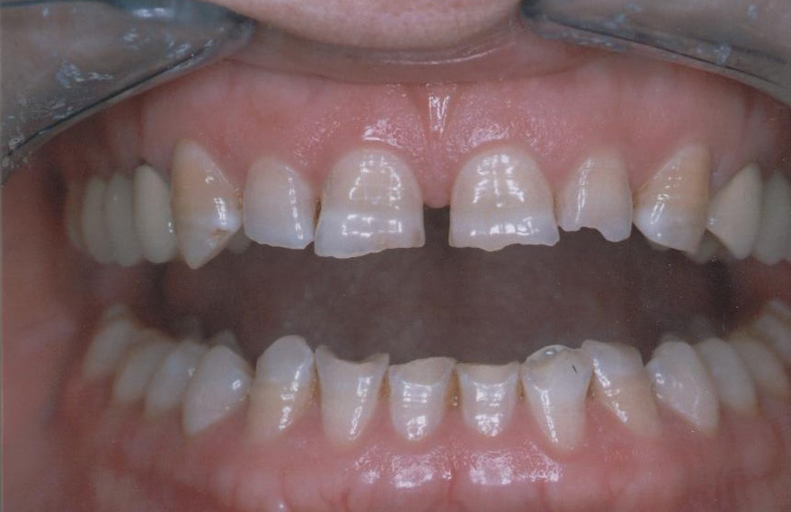
A patient came to the clinic with sever destruction by caries of the anterior and anterior cavities front with lack of hygiene has caused an hemorrhagic gingivitis. After hygienic phase and teaching dental hygiene and teeth restored with endodoncian-knuckle bolts fiberglass.
After
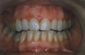
REHABILITATION WITH CROWNS CERAMIC WITHOUT INDIVIDUAL METALS. HEALTH PROBLEMS REMAIN THAT CAUSES FLASH OF GUM, AFTER CLINIC CLEANING REDUCING. ALSO DEPENDING ON THE COLLABORATION OF THE PATIENT IN THE DAILY HYGIENE AND REGULAR VISITS THE MAINTENANCE OF HEALTH AND BEAUTY OF THE MOUTH.
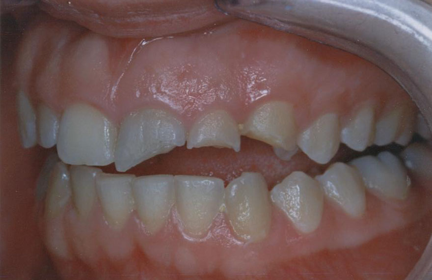
INCISOR CENTRAL FRACTURES, AND CANINE SIDE THAT WERE RESTORED WITH CERAMIC VENEERS. WHAT THESE OUTSTANDING NATURAL RESTORATION IS THEREFORE THAT REPRODUCE HOW THE COLOR, AND RESPECT FOR GUM HEALTH AND RECOVERY OF FUNCTION.
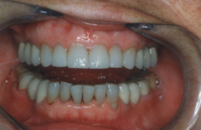
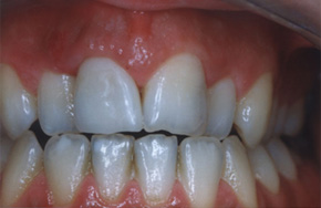
UPPERFRONT REHABILITATION WITH CERAMIC VENEERS IPSE.MAX THROUGH AND THROUGH SUPERIOR POSTERIOR TEETH METAL-CERAMIC CROWNS. PHOTO 2 ALLOWS VERY APPRECIATE THE TRANSITION BETWEEN NATURAL VENEER AND GUM. THE PHOTOS 3 & 4 APPRECIATE THE COMPLETE REHABILITATION IN UPPER AND LOWER LOWER THAT WAS NOT NECESSARY INCISORS TREAT.
BEFORE AND AFTER TREATMENT WITH A CERAMIC VENEER TOP INCISOR IPSE.MAX RIGHT. APPRECIATE THE COLOR, GOOD SHAPE AND INTEGRATION WITH GUM.
